Vats

Cáncer Pulmonar

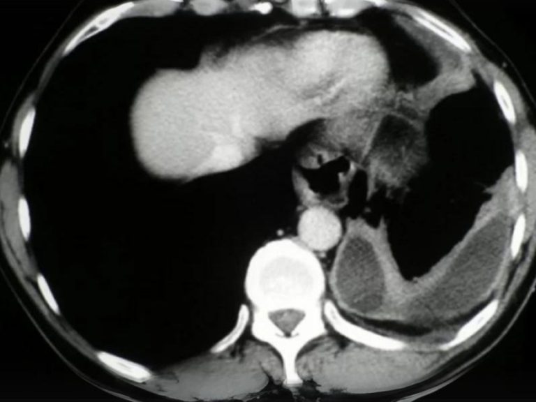
El cáncer de pulmón es un cáncer que se forma en los tejidos del pulmón, generalmente en las células que recubren las vías respiratorias. Es la principal causa de muerte por cáncer tanto en hombres como en mujeres.

Toracoscopía Videoasistida

La cirugía toracoscópica asistida por video (VATS) es una técnica quirúrgica mínimamente invasiva que se usa para diagnosticar y tratar problemas en el pecho. El toracoscopio transmite imágenes del interior de su pecho a un monitor de video, lo que guía al cirujano en la realización del procedimiento.

Enfermedades de la pleura

La cavidad torácica (torácica o pleural) es un espacio que está encerrado por la columna vertebral, las costillas y el esternón y está separado del abdomen por el diafragma.

Miastenia Gravis

La Miastenia Gravis es una enfermedad neuromuscular autoinmune crónica que causa debilidad del músculo esquelético.

Cirugía para cáncer de pulmón menos invasiva

El cáncer de pulmón y las nuevas técnicas menos invasivas son actualmente recomendadas y más seguras.

Cirugía Torácica Mínimamente Invasiva

La cirugía torácica mínimamente invasiva, también conocida como cirugía videoasistida (VATS), es una técnica quirúrgica avanzada

Cirugía torácica en tratamientos de Miastenia Gravis

La Miastenia Gravis es una enfermedad autoinmune que se caracteriza por la presencia de debilidad muscular fluctuante y fatiga de distintos grupos musculares

Técnicas que revolucionan la cirugía torácica, acortando el tiempo del alta médica

Hace diez años, practicar una cirugía torácica para extirpar un tumor de pulmón mediante una única incisión parecía una quimera

Cirugía de pectus sin barras: técnica Mini-Ravitch, la solución definitiva y segura

El Dr. Víctor Gómez Ponce explica por qué la técnica Mini-Ravitch, sin barras de metal, ofrece mejores resultados estéticos y funcionales en la corrección del pectus excavatum y pectus carinatum, sin necesidad de reoperaciones.

Soy Víctor Gómez, Cirujano de Tórax - Cirugía de Tórax en Lima

Conoce un poco más de mi especialidad y por qué junto a mi equipo soy pionero en realizar la cirugía de tórax mínimamente invasiva, llamada VATS.

Testimonios
Vi una mejoría en la salud de mi pequeña y se mantiene así gracias a la respuesta pronta del equipo de especialistas a cargo del Dr. Víctor Gómez.

Jorge Huaman

neumonia-e-infeccion-urinaria
Le realizaron nuevamente la traqueotomía. Hoy en día Robert es un niño sano y feliz.

Robert Malpartida

estenosis-traqueal
Un transplante de pulmón es un tratamiento eficaz para la enfermedad que ha destruido la mayor parte de la función de los pulmones.

Andrea Sánchez

miastenia-gravis

¿Cómo reservo una cita?

Sabemos que cuando se trata de tu salud, lo más importante es sentirte escuchado y acompañado.

Si deseas agendar una consulta con el Dr. Víctor Gómez Ponce, puedes escribirnos al 908 775 230.
Nuestro equipo estará contigo desde el primer momento, resolviendo tus dudas, orientándote sobre la disponibilidad de horarios y costos, y ayudándote a coordinar tu atención paso a paso.

Estamos aquí para ayudarte a respirar con mayor tranquilidad y recuperar tu bienestar.

Consulta ahora

El Dr. Víctor Gómez Ponce Cirujano de Torax – M.D.FATS es especialista en cirugía de tórax y cardiovascular

Dejanos tus datos y tu consulta

Dr. Víctor Gómez Ponce

Especialista en cirugía de tórax y cardiovascular

Reserva una cita con el doctor

Podcast dedicado a la Cirugía Torácica

Hiperhidrosis o sudoración excesiva: causas, tratamiento y solución definitiva
Nuevo episodio: Hablemos de Pectus Excavatum
Ver más capítulos del Podcast

El Blog del Dr. Gómez

Atención Online para Pacientes Fuera de Lima: Seguimiento Seguro Después de tu Cirugía Torácica
Atención Online para Pacientes Fuera de Lima: Seguimiento Seguro Después de tu Cirugía Torácica

Si vives fuera de Lima o tuviste que viajar para realizarte una cirugía, no tienes que preocuparte por tus controles médicos.

Leer más
Cirugía de Tórax con el Dr. Víctor Gómez Ponce: Experiencia, Seguridad y Compromiso Humano
Cirugía de Tórax con el Dr. Víctor Gómez Ponce: Experiencia, Seguridad y Compromiso Humano

Las enfermedades del tórax pueden afectar la respiración, la capacidad física y el bienestar general

Leer más
La cirugía es la solución para el pectus excavatum y pectus carinatum
La cirugía es la solución para el pectus excavatum y pectus carinatum

Has notado que el pecho de tu hijo está hundido o sobresale más de lo normal?

Leer más
Retiro de Quistes Hidatídicos: Cirugía a Tiempo para Proteger la Salud Pulmonar
Retiro de Quistes Hidatídicos: Cirugía a Tiempo para Proteger la Salud Pulmonar

Los quistes hidatídicos forman parte de una enfermedad parasitaria conocida como hidatidosis.

Leer más