Pectus excavatum

Pectus

La cirugía correctiva con la técnica Mini-Ravitch, aplicada por el Dr. Víctor Gómez Ponce, es la solución definitiva, segura y eficaz para corregir el pectus, sin dejar cuerpos extraños ni requerir reoperaciones.

Técnica Mini Ravitch Pectus: corrección segura de la pared torácica

La técnica Mini Ravitch Pectus es actualmente una de las alternativas más seguras y precisas para la corrección de Pectus Carinatum, Pectus Excavatum y Pectus Mixto

Deformidades congénitas del pecho: explicación del Dr. Víctor Gómez en ATV Noticias

El Dr. Víctor Gómez explica de manera clara y precisa qué son las deformidades congénitas del pecho, cómo afectan a los niños y adolescentes, y por qué es fundamental un diagnóstico oportuno.

Cirugía Pectus Excavatum Carinatum: soluciones del Dr. Víctor Gómez en Exitosa

Las deformidades torácicas congénitas, como el pectus excavatum y el pectus carinatum, afectan a niños y adolescentes, volviéndose más evidentes con el crecimiento

El Dr. Víctor Gómez compartió valiosa información sobre cómo corregir el pecho hundido en una entrevista con ATV

La corrección del pecho hundido o pectus excavatum es un procedimiento fundamental para mejorar la forma del tórax y evitar complicaciones respiratorias o cardíacas.

Cirugía para deformidades del pecho: tratamiento del pectus excavatum y carinatum

El Dr. Víctor Gómez explica de manera clara y precisa qué son las deformidades congénitas del pecho, cómo afectan a los niños y adolescentes, y por qué es fundamental un diagnóstico oportuno.

Arritmias ventriculares resueltas por corrección de pectus excavatum

Joven basketbolista en una ciudad de Portugal, es sometido a cirugía de corrección de pectus excavatum, como medida terapéutica de las arritmias ventriculares que padecía.

Pectus carinatum: qué es el pecho de paloma y tratamiento

El Pectus Carinatum, también llamado "Pecho de paloma" es una condición común en la que el esternón y las costillas se van para adelante.

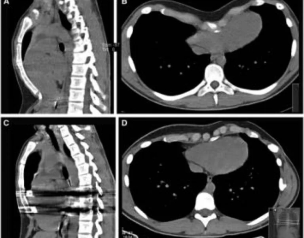
Pectus excavatum: qué es el pecho hundido y cómo se corrige

El Pectus Excavatum se debe a un crecimiento excesivo del tejido conectivo que une las costillas con el esternón

Pectus Excavatum: Modernas cirugías

El Pectus Excavatum puede interferir en el funcionamiento de los pulmones y el corazón

Testimonios
Vi una mejoría en la salud de mi pequeña y se mantiene así gracias a la respuesta pronta del equipo de especialistas a cargo del Dr. Víctor Gómez.

Jorge Huaman

neumonia-e-infeccion-urinaria
Le realizaron nuevamente la traqueotomía. Hoy en día Robert es un niño sano y feliz.

Robert Malpartida

estenosis-traqueal
Un transplante de pulmón es un tratamiento eficaz para la enfermedad que ha destruido la mayor parte de la función de los pulmones.

Andrea Sánchez

miastenia-gravis

¿Cómo reservo una cita?

Sabemos que cuando se trata de tu salud, lo más importante es sentirte escuchado y acompañado.

Si deseas agendar una consulta con el Dr. Víctor Gómez Ponce, puedes escribirnos al 908 775 230.
Nuestro equipo estará contigo desde el primer momento, resolviendo tus dudas, orientándote sobre la disponibilidad de horarios y costos, y ayudándote a coordinar tu atención paso a paso.

Estamos aquí para ayudarte a respirar con mayor tranquilidad y recuperar tu bienestar.

Consulta ahora

El Dr. Víctor Gómez Ponce Cirujano de Torax – M.D.FATS es especialista en cirugía de tórax y cardiovascular

Dejanos tus datos y tu consulta

Dr. Víctor Gómez Ponce

Especialista en cirugía de tórax y cardiovascular

Reserva una cita con el doctor

Podcast dedicado a la Cirugía Torácica

Hiperhidrosis o sudoración excesiva: causas, tratamiento y solución definitiva
Nuevo episodio: Hablemos de Pectus Excavatum
Ver más capítulos del Podcast

El Blog del Dr. Gómez

Cirugía para hiperhidrosis: pacientes recuperan su tranquilidad y seguridad
Cirugía para hiperhidrosis: pacientes recuperan su tranquilidad y seguridad

La hiperhidrosis o sudoración excesiva puede afectar mucho más que la parte física

Leer más
Atención Online para Pacientes Fuera de Lima: Seguimiento Seguro Después de tu Cirugía Torácica
Atención Online para Pacientes Fuera de Lima: Seguimiento Seguro Después de tu Cirugía Torácica

Si vives fuera de Lima o tuviste que viajar para realizarte una cirugía, no tienes que preocuparte por tus controles médicos.

Leer más
Cirugía de Tórax con el Dr. Víctor Gómez Ponce: Experiencia, Seguridad y Compromiso Humano
Cirugía de Tórax con el Dr. Víctor Gómez Ponce: Experiencia, Seguridad y Compromiso Humano

Las enfermedades del tórax pueden afectar la respiración, la capacidad física y el bienestar general

Leer más
La cirugía es la solución para el pectus excavatum y pectus carinatum
La cirugía es la solución para el pectus excavatum y pectus carinatum

Has notado que el pecho de tu hijo está hundido o sobresale más de lo normal?

Leer más